Pulmonary & Critical Care Division Newsletter

January 2026

Welcome to the January 2026 edition of our division newsletter. Below you’ll find updates from each department including research highlights, clinical news, social updates, and more.

Interventional Pulmonary

Recognition & Achievement

Javier Diaz was awarded the Outstanding Educator Award 2025 by the Association of Interventional Pulmonology Program Directors (AIPPD), recognizing exceptional contributions to education and mentorship in interventional pulmonology training programs. Although he was unable to attend the award ceremony in Florida last week, Dr. Debiane graciously accepted the award on his behalf.


ILD

Phase 2 Physician-Scientist Grant Awarded



Dr. Asif Abdul Hameed, a member of the Interstitial Lung Disease (ILD) group, was recently awarded Phase 2 of the Henry Ford Physician-Scientist Grant, a competitive program designed to support early-career faculty pursuing independent research careers.



The Physician-Scientist Grant is structured in two phases. Phase 1 provides early-career faculty with protected time and discretionary funding while they complete a six-month grant-writing boot camp in collaboration with Michigan State University. The goal of this initial phase is to build the skills necessary to compete successfully for external funding. Following completion of Phase 1, participants may apply for Phase 2, a mentored physician-scientist award modeled after NIH K08 or K23 grants.
Phase 2 provides up to three years of support, including 50% protected time and substantial annual research funding. The ultimate objective of the award is to position investigators to submit an NIH R01 grant and transition to fully independent research careers.
Dr. Abdul Hameed’s research focuses on the early identification of interstitial lung disease through artificial intelligence–based applications in pulmonary and critical care medicine. His work centers on interstitial lung abnormalities (ILAs)—subclinical findings on chest CT scans that affect an estimated 7–10% of patients and can progress to clinically significant ILD over time. By definition, patients with ILAs are asymptomatic. These abnormalities are most often detected incidentally on imaging studies performed for other reasons, including lung cancer screening CTs,


coronary CT angiography, or CT scans of the abdomen and pelvis. Although professional guidelines from the ATS and Fleischner Society outline diagnostic and management approaches, ILAs are frequently underrecognized and underreported, representing a missed opportunity for early identification and intervention.
Through this grant, Dr. Abdul Hameed aims to develop automated, AI-driven methods to detect ILAs reliably and consistently on imaging studies. His long-term goal is to bridge the gap between advanced data science and clinical pulmonary medicine, supported by formal training through a planned Master’s degree in Health Data Science.




Detecting interstitial lung disease earlier - before symptoms even begin




Dr. Abdul Hameed likens ILAs to a small, silent crack in a dam—undetectable to the patient and easy to overlook on routine imaging, yet capable of widening over time and leading to overt lung disease. By leveraging artificial intelligence to identify these changes early, clinicians may be able to intervene before irreversible lung damage occurs.

This work exemplifies the mission of the Physician-Scientist Grant program: to provide protected time, structured mentorship, and focused training that enable faculty to develop innovative research programs with meaningful clinical impact.



Research

Turn Clinical Encounters Into Research Opportunities

All active studies are listed under the Clinical Trials menu on our website. Please review this page during patient evaluation to identify potential research opportunities for referral.



Where to Find Active Studies

Clinical Trials menu screenshot


The HFHPulm website centralizes all active PCCM clinical trials.




Access via Epic

COPD-related studies can also be accessed directly in Epic using the dot phrase .COPDRESEARCH. This dot phrase displays the inclusion and exclusion criteria for all active COPD studies, mirroring the information available under the Clinical Trials link on HFHPulm. Developed by Dr. Al Muthanna Shadid.

Ongoing Research

A reminder that we have a phase 2 study looking at a novel agent (solrikitug) in eosinophilic COPD.

Inclusion:
• Documented diagnosis of COPD for at least 12 months
• Age 40 - 75 years
• BMI between 18.5-40
• FEV1/FVC <0.7
• FEV1 40%-80%
• Former smoker (at least 10 pack years)
• CAT score >10
• Type 2 inflammatory COPD phenotype: Blood eosinophil count between 150 – 1500
• On double or triple inhaler therapy

See Clinical Trials on HFHpulm for exclusions.

Anyone with questions can contact Alex, Melanie, Muthanna, Dan, or Nicolas Ebner (research coordinator).

PH

CTEPH & Balloon Pulmonary Angioplasty at Henry Ford Health



Balloon pulmonary angioplasty (BPA) is offered for patients with distal, non-operable chronic thromboembolic pulmonary hypertension (CTEPH) or contraindications to surgery. The procedure is performed by Dr. Vikas Aggarwal, an interventional cardiologist with extensive experience, with 100+ BPA cases completed at Henry Ford. BPA is a staged, minimally invasive catheter-based intervention, typically requiring 6–9 sessions over several months, with structured follow-up in the Pulmonary Hypertension Clinic and multidisciplinary case review.



Chronic thromboembolic pulmonary hypertension (CTEPH) is characterized by persistent obstruction and remodeling of the pulmonary vasculature due to organized thromboembolic disease. Pulmonary endarterectomy (PEA) remains the treatment of choice for eligible patients; however, alternative therapies include medical management with riociguat and/or balloon pulmonary angioplasty (BPA) for patients with distal, non-operable disease or contraindications to surgery. The Henry Ford CTEPH program emphasizes a multidisciplinary approach, with comprehensive diagnostic evaluation and coordinated longitudinal care.


Site selected!

The Pulmonary Hypertension (PH) subspecialty clinic within the Henry Ford Pulmonary & Critical Care Medicine (PCCM) Division has been selected as a site for a Phase 2 clinical trial evaluating the safety of adding inhaled mosliciguat to inhaled treprostinil in patients with Group 3 pulmonary hypertension associated with interstitial lung disease (ILD).

As a reminder, all active research trials—including this study—are listed in the Clinical Trials section of the HFH Pulmonary website and should be reviewed during patient evaluation to identify potential referral opportunities.

Education

Join the PH team for the quarterly Pulmonary Hypertension Journal Club, held during the weekly Pulmonary Hypertension meeting on Wednesdays at 12:30 PM in the Bower Library. The journal club is presented by the rotating Pulmonary Hypertension fellow and highlights clinically relevant literature in pulmonary vascular disease.

This month’s selection is the STORM-PE trial (Lookstein RA et al., Circulation, published online November 3, 2025). In this randomized controlled trial, catheter-assisted vacuum thrombectomy using the Indigo® Aspiration System plus anticoagulation (vs anticoagulation alone) in patients with acute intermediate-high risk pulmonary embolism demonstrated a significantly greater reduction in RV/LV ratio at 48 hours and favorable early physiological recovery without an increase in major adverse events. The study also assessed functional outcomes and quality-of-life measures at 90 days. These findings support the role of advanced catheter-based therapies in selected intermediate-high risk PE patients, while long-term outcomes remain an open question. Watch this space for updated pulmonary embolism trials.

Read the full publication: https://www.ahajournals.org/doi/10.1161/CIRCULATIONAHA.125.077232

ICU

Overview

Andexxa update -
AstraZeneca is withdrawing their BLA for Andexxa on 12/22/25 and product will be withdrawn from the market on this date, so we will need to cease use on/before this date. We will formally remove Andexxa from formulary on 12/22/25, but will be moving to return any remaining supply on hand effective immediately. While product may remain available to order in Epic until 12/22, some sites may no longer have supply as early as next week. The Anticoagulation Reversal Guidelines will be updated as soon as possible to reflect this change and standard alternatives should be used as appropriate (e.g., 4-FPCC).


4F PCC Ordering update - Starting on Wednesday, December 17th, 4F-PCC will be available on EPIC medication lists for all providers. After this time, providers will no longer need to use the “Blood Factors” order to place an order for 4F-PCC.

Ongoing Research

CHILL Study. See clinical trials on hfhpulm

Caption It!

Overview



Get creative and have a chance to get (more) caffeinated! Take part in this interactive challenge! Submit a medical-themed caption for this original artwork. Whether it’s witty, poetic, or a play on words, the top caption (as voted by your peers) wins a $5 Biggby Coffee gift card.


Use this link to submit your caption: https://www.surveymonkey.com/r/RVMSS6V
Return to this space next month for the winner and to learn about this talented artist!

Before You Go…

Quiz of the month

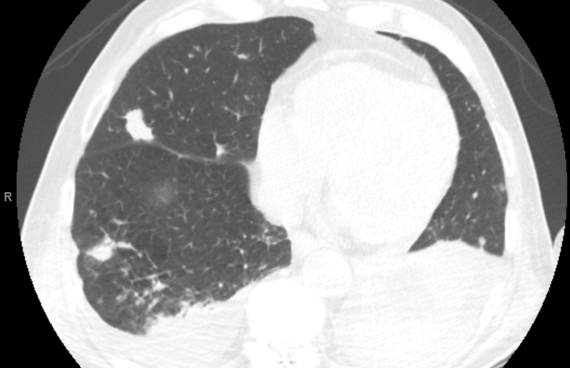
A 69-year-old man with a history of liver transplant for hepatitis C–related cirrhosis and hepatocellular carcinoma in 2010 on cyclosporine, mycophenolate, and prednisone, mantle cell lymphoma on ibrutinib, pancreatic cancer status post resection in 2009 CKD stage 4; and hypertension presents with right arm pain and swelling, dysuria, and shortness of breath requiring 3 L/min nasal cannula. He reports a two-week history of cough with difficulty expectorating and intermittent wheezing. He denies fever, chills, hemoptysis, orthopnea, lower-extremity edema, or night sweats. On exam, he is lethargic , afebrile. He is hemodynamically stable. Lungs are clear to auscultation, there is no palpable adenopathy. Right arm and elbow is markedly edematous and erythematous, with fluctuance, no crepitus, no purulence or drainage. Blood cultures are negative, and echocardiography without vegetations. Complete blood count with mild anemia and normal WBC.
The following are representative cuts of his CT chest.



Which of the following is the most plausible diagnostic consideration?
A. Septic pulmonary emboli
B. Pulmonary nocardiosis
C. Invasive aspergillosis
D. Pulmonary metastases
E. Reactivation tuberculosis

Answer to November quiz of the month:

D. Vanishing Lung Syndrome

Vanishing lung syndrome, also known as idiopathic giant bullous emphysema, is a disease first described 1937, characterized by giant bulla that occupies at least one third of one or both lungs, causing compression on the surrounding normal lung parenchyma, creating the appearance of “disappearing lung” on imaging. The disease is frequently asymmetrical. It typically affects young men with a longstanding history of smoking (Ladizinski & Sankey, 2014) and rarely occurs in nonsmokers. Association with alpha-1 antitrypsin deficiency and marijuana use has been described, with a proposed pathophysiological mechanism alveolar wall destruction due to elastase (Talwar at al., 2022).

Clinical presentation usually includes cough, dyspnea, in some cases chest pain due to increasing size of the bullae, pneumothorax from bullae rupture but is occasionally incidentally detected in asymptomatic individuals.

Chest xray is usually the initial investigation and may reveal asymmetric hyperlucent lungs. HRCT images confirm the diagnosis with frequent findings of multiple large bullae in both lungs, which range in size from few centimeters to very large dimensions, almost filling the entire lung. Occasionally, it may be difficult to differentiate between a large bulla and a pneumothorax. A double-wall sign (air seen on both sides of the bulla wall) may be used to differentiate between the two conditions (Waitches, 2000).

Complications include secondary infection of the bullae with aging, finding of an air fluid level, and rupture of bullae leading to pneumothorax.

Asymptomatic cases are managed conservatively. Lung-volume–reduction surgery is considered for selected symptomatic patients with bullectomy.

References:

Ladizinski, B, M.D., Sankey, C. (2014). Vanishing Lung syndrome. N Engl J Med 2014;370: e14. https://www.nejm.org/doi/10.1056/NEJMicm1305898

Talwar, D., Andhale, A., Acharya, S., Kumar, S., & Talwar, D. (2022). Vanishing lung syndrome masquerading as pneumothorax in a smoker: Now you see me, now you do not. Lung India : official organ of Indian Chest Society, 39(4), 374–376. https://doi.org/10.4103/lungindia.lungindia_715_21

Waitches, G. M., Stern, E. J., & Dubinsky, T. J. (2000). Usefulness of the double-wall sign in detecting pneumothorax in patients with giant bullous emphysema. AJR. American journal of roentgenology, 174(6), 1765–1768. https://doi.org/10.2214/ajr.174.6.1741765