ulmonary & Critical Care Division Newsletter

July 2025

Welcome to the July 2025 edition of our division newsletter. Below you’ll find updates from each department including research highlights, clinical news, social updates, and more.

Welcome to the second issue of the PCCM newsletter.

Our June newsletter can be seen here.

Social & Community News

Follow us on Instagram! hfhpulmccmfellow

Announcements

Caption It! – Coming Next Month
Get creative and have a chance to get (more) caffeinated! Starting next month, we’ll debut Caption It!- an interactive challenge where you’ll be invited to caption an original drawing or painting, using a medical theme. Whether it’s witty, poetic, or a play on words, the top caption (as voted by your peers) wins a $10 Biggby Coffee gift card.

Welcome incoming fellows!

Pulmonary & Critical Care Medicine (PCCM) Fellows
Dr. Sharanya Shre Ezhilarasan Santhi
• Medical School: Saveetha Medical College and Hospital
• Residency: Trinity Health Oakland Hospital
Dr. Jacob Foy
• Medical School: Wright State University Boonshoft School of Medicine
• Residency: Henry Ford Health
Dr. Madonna Hanalla
• Medical School: University of Medicine and Health Sciences
• Residency: McLaren Oakland Hospital
Dr. Rabia Mahmood
• Medical School: Central Michigan University College of Medicine
• Residency: Ascension St. John Hospital
Dr. Georgette Nader
• Medical School: American University of the Caribbean School of Medicine
• Residency: University of Michigan Health–Sparrow Hospital
Dr. Austin Parsons
• Medical School: Michigan State University College of Osteopathic Medicine
• Residency: Henry Ford Health
Dr. Hannah Smith
• Medical School: Ohio State University College of Medicine
Residency: Ohio State University / Nationwide Children’s Hospital

Critical Care Medicine (CCM) Fellows
Dr. Carolina Gonzalez Vazquez
Medical School: Tecnologico de Monterrey Escuela de Medicina
Residency: Advocate Christ Medical Center
Dr. David Shih
Medical School: University of Western Ontario – Schulich School of Medicine & Dentistry
Residency: Henry Ford Health
Dr. Muna Tamimi
Medical School: Ohio State University College of Medicine
Residency: Beaumont Hospital
Dr. Gurshawn Tuteja
Medical School: Medical College of Georgia at Augusta University
Residency: Henry Ford Health

EM/IM/CCM Fellows
Dr. Daniel Cotton
Medical School: Loyola Stritch School of Medicine
Residency: Henry Ford Health
Dr. Christopher Cunningham
Medical School: University of North Carolina – Chapel Hill
Residency: Henry Ford Health

Nephrology/CCM Fellow
Dr. Srinidhi Shyamkumar
Medical School: Touro College of Osteopathic Medicine
Residency: University of Houston / HCA Healthcare Houston–Kingwood

Interventional Pulmonology (IP) Fellow
Dr. Alexandria Gastesi
Medical School: Nova Southeastern College of Osteopathic Medicine
Residency: Broward Health Medical Center

Pulmonary Hypertension Program Earns National Accreditation Again

The pulmonary hypertension department is one of two hospitals in Michigan to earn the prestigious designation as a Center for Comprehensive Care by the Pulmonary Hypertension Association (PHA). This accreditation was initially achieved in 2017 and has been maintained consecutively every three years, including the most recent year, April 2025. This is very exciting news, as the department is only one of 63 accredited adult centers in the country.

Dr. Rana Awdish, MD, MS, FACP, FCCP, the Senior Director of the program shared the following about this accomplishment:
“This represents an acknowledgment of how hard our nurses and nurse coordinators work on behalf of our patients. It also highlights our multi-disciplinary teamwork (especially our collaboration with cardiology), the strength of our Chronic Thromboembolic Pulmonary Hypertension (CTEPH) program, and the research mission we are striving towards. This was truly a team effort, and now, a team success.”

Social & Community News

Join us for the annual Greater Detroit O2 Breathe Walk on Saturday, September 13th, 2025 at 10 am at the Kensington Metropark. Register to join our team and help us reach our fundraising goal of $1000. Register

Education

Several upcoming initiatives for trainee education:
* Standardizing the pulmonary hypertension curriculum for fellows, with a focus on core competencies
* Collaboration with cardiology for echocardiography and right heart cardiac catheterization training
* Launching a quarterly journal club in the new academic year beginning July 2025 to encourage critical appraisal of current literature and foster discussion of emerging evidence
* Supporting trainees in building stronger research literacy and applying evidence-based practices in pulmonary hypertension care

Announcements

Dr. Bryan Kelly has been named Co-Director of the Pulmonary Hypertension Program.
The program and critical care division has benefited from Dr Kelly’s expertise in managing this patient population, which he does in addition to his leadership of the PERT Program, and providing APP oversight. Dr. Kelly's clinical focus has been increasingly dedicated to Pulmonary Hypertension across all phases of care; his interest in optimizing inpatient outcomes and quality is seen in his leadership within the MICU, as a representative on solid organ transplant committees, as well as a lead consultant to the High-Risk maternal-fetal medicine (MFM) Program. His commitment to medical education is evident in his didactic support to numerous teaching programs within the hospital and health system and also teaches fundamentals of Pulmonary Medicine to medical students at Michigan State University. Dr. Awdish plans to continue her role as senior co-director for the PH program, however, this appointment is both timely and necessary, given her limited clinical time and ever-increasing system responsibilities. Please join us in congratulating Dr. Kelly on this well-earned designation.

Gen pulm

Ongoing Research

- DevPro RAINIER: A Phase 2a, Randomized, Double-blind, Placebo-controlled, Multiple Dose-Ranging Study to Assess the Safety, Tolerability, Pharmacokinetics, and Pharmacodynamics of Solrikitug in Adult Participants With Asthma.
- Hummingbird Diagnostics: Diagnostic performance of small RNA blood test in patients undergoing follow-up imaging after positive low dose CT screening for cancer of the lung “Early Detection of Lung Cancer based on small RNA signatures - Boston II”
- aTYR: A PHASE 3, RANDOMIZED, DOUBLE-BLIND, PLACEBO CONTROLLED STUDY TO EVALUATE THE EFFICACY AND SAFETY OF INTRAVENOUS EFZOFITIMOD IN PATIENTS WITH PULMONARY SARCOIDOSIS.
- Xentria : A seamless, Phase 1b/2 multiple ascending dose/proof of concept study of XTMAB-16 in patients with pulmonary sarcoidosis with or without extrapulmonary manifestations.
- Reliance : A multi-center, randomized, 72-month, parallel group, non-inferiority, phase III study to compare the effectiveness of 500 mcg QD or alternate regimen of roflumilast (Daliresp) therapy versus 250 mg QD, 500 mg QD three times per week, or alternate regimen of azithromycin therapy to prevent COPD exacerbations.
- DevPro ZION : A Phase 2, Randomized, Double-blind, Placebo-controlled, Multiple Dose-Ranging Study to Assess the Safety, Tolerability, Pharmacokinetics, and Pharmacodynamics of Solrikitug in Participants with Chronic Obstructive Pulmonary Disease

Administrative

Social & Community News

Stay tuned for next month's Happy Birthday corner! Emails can be missed or deleted. Starting now, birthdays will be in the newsletter!

Announcements

The PHA is hosting a greater Detroit O2Breathe Walk at Kensington Park in Milford, MI on 9/13/25 at 10am-12pm. This event benefits support and educational resources for people living with PH, families, caregivers, health care professionals who specialize in caring for people with the disease and PH researchers searching for a cure
join and register here

Interventional Pulmonary

Mission:
The interventional pulmonology team’s mission is to provide the highest level of care for patients and their families with diseases of the airways, lungs, and the pleura.

Ongoing Research

- ZEVR: Zephyr Valve Registry.
- CONVERT II : An Evaluation of the AeriSeal System for CONVERTing Collateral Ventilation Status in Patients with Severe Emphysema
- Intuitive's Tomosynthesis: A prospective, data collection study utilizing a fiducial board for use with the Ion Endoluminal System.

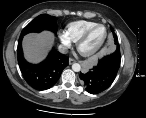
Quiz of the Month

Newsletter Image
A 51-year-old man presented to the pulmonary clinic for abnormal CT imaging found on initial lung cancer screening examination. He has a 50-pack-year smoking history, sleep apnea, and a remote history of an exploratory laparotomy for a gunshot wound to his abdomen. For the last 30 years, he has worked in the heating and cooling industry. He believes he has been exposed to asbestos. He gets short of breath when going up two flights of stairs but otherwise has no symptoms. Representative image from a CT chest with contrast shown. There is no enlargement of the mediastinal or hilar lymph nodes. What is the best next step in management? A. Navigational bronchoscopy B. Video-assisted thoracoscopic surgical biopsy [VATS] C. Mediastinoscopy D. Technetium RBC scan E. Pulmonary function testing F. BRCA-associated protein 1 [BAP1] mutational analysis