Pulmonary & Critical Care Division Newsletter

November 2025

Welcome to the November 2025 edition of our division newsletter. Below you’ll find updates from each department including research highlights, clinical news, social updates, and more.

Fellowship

Highlights

Our Pulmonary and Critical Care fellows made an impressive showing at this year’s CHEST Conference in Chicago. Below are some of the highlights.



Podium Session as Faculty:
*Medha Cherabuddi

Nominated to join Trainee Work Group:
*Medha Cherabuddi

Nominated to attend Fellows Course:
*Yolanda Hidalgo Hernandez
*Hiba Zeid

Case Report Rapid Fires:
*Reema Rani
*Nour Nasiri
*Akhil Sharma
*Yolanda Hidalgo Hernandez
*Kaitlyn Spinella

Case Report Posters:
Medha Cherabuddi, Yara Khalifeh,Yolanda Hidalgo Hernandez, Sulmaz Zahedi, Natalia Zero, Muthanna Shadid, Austin Parsons, Madonna Hanalla, Nour Nasiri, and Akhil Sharma.









Congratulations to all our fellows and faculty for their outstanding work and for representing Henry Ford Health at the national level!



Be sure to visit our Instagram page for even more pictures.



Gen pulm

Highlights


We are excited to announce that Dr. Rana Awdish’s new book, After Shock, focused on healing that truly honors the body’s wisdom, will be released in June. Early reviews call it a “piercingly honest and honest, insightful, deeply vulnerable examination of the true nature of healing.”




From the publisher: In this powerful follow-up to her bestselling memoir, In Shock, a doctor asks: What does it truly mean to heal?

In the aftermath of her own critical illness, physician and writer Dr. Rana Awdish finds herself oddly estranged from her own body. Medicine has conditioned her to view sick bodies as broken objects, not as sites of meaning, mystery, and quiet wisdom. As she deconstructs her belief system and reassembles the pieces, she finds a radical alternative: healing as an embodied and relational process. What emerges is a profound meditation on the stories we create about ourselves, their value and their limitations.


Guided by the evocative power of art from Frida Kahlo to Mark Rothko, as well as her own creative process, After Shock is part memoir and part guidebook to sustaining wonder and attention to beauty even in the face of grief and loss. Awdish elegantly draws us into a space where our perception shifts and curiosity leads to profound revelation. She invites us to reclaim the power that resides in our attention, relationships, and willingness to stay present with suffering long enough for it to transform into something else.


Through her poetic prose and evocative imagery, we learn to see differently, feel deeply, and trust that healing is always possible.




--------------------------------------------------------------------------------------------------------------------


Thanks for the memories


The RELIANCE Trial (comparing azithromycin to roflumilast in patients with COPD) has now closed for new patients. The research team extends sincere thanks to all clinicians who referred their patients for screening. We successfully enrolled approximately 64 patients at Henry Ford, contributing to a national total of about 1,000 participants.


Looking ahead, please consider the ZION Trial for your COPD patients with an FEV1 between 40–80% predicted who have the Type 2 phenotype with elevated eosinophils. Potential candidates can be referred to Mr. Nicolas Ebner or Drs. Dan Ouellette, Alex Garbarino, or Al Muthanna Shadid.


Did you know...


Almost anything related to our division can be found on hfhpulm.com! Simply type a few key words here:



Exciting news!

We’re now sharing the newsletter with our recent alumni — fellows who have graduated within the past five years. We’re thrilled to stay connected and keep our extended Henry Ford Pulmonary and Critical Care family updated on the latest achievements, events, and highlights from our program.



Alumni: If you prefer not to receive these emails, simply reply with "unsubscribe".


ICU

Ongoing Research

For patients with ARDS, we have the CHILL trial. This is the Cooling to help injury lungs (CHILL) Phase IIB Randomized Control Trial of Therapeutic Hypothermia (TH) plus Neuromuscular Blockade (NMB) in Patients with ARDS.
If you have patients with severe ARDS (PF <200), please consider them for screening.

Contact Dr. Jayaprakash for additional questions. For screening you can use HALO: HFH DEM Research

Clinical Updates

COVID-19 Isolation Update

Starting October 22, 2025, Limited Airborne Precautions will replace Droplet PLUS Precautions for COVID-19. This change reflects updated evidence on transmission and PPE requirements.

COVID-19 primarily spreads through inhalation of airborne particles and larger respiratory droplets. Transmission via contaminated surfaces or ocular exposure is now considered minimal.

Required PPE:
N95 (or higher) respirator
Eye protection during and after aerosol-generating procedures (AGPs)*
Gown and gloves are not required

Room Requirements:
Negative pressure room not required for Limited Airborne Precautions
Negative pressure room recommended for patients undergoing AGPs* (use private room with door closed if unavailable)


Candida auris Reminders

Continue to utilize Contact Isolation for all patients being screened for or known to be positive for Candida auris. Strict adherence to PPE and infection-control protocols remains essential.

Key Practices:
• Use required PPE for every room entry
• Place confirmed C. auris patients in private rooms (not shared bays)
• Maintain frequent and thorough hand hygiene
• Ensure disinfection of patient environments and all shared equipment, including Sonosite machines, bladder scanners, and other portable devices
• Upon discharge, nursing is responsible for disinfecting the mounted thermometer and glucometer within the room


Social & Community News

POD 5 & POD 6 Pumpkin Contest



The medical ICU teams celebrated the Halloween season with a fun and festive Pumpkin Decorating Contest! Teams put their creativity on full display, turning ordinary pumpkins into spooky, funny, and downright impressive works of art.



Staff, fellows, and faculty joined in the voting, and the competition was tight! Thank you to everyone who participated for bringing some fall cheer and friendly rivalry to the pods.


And it wasn't just pumpkins. "There was a great pumpkin Charlie Brown diorama" said Dr. Lazar, one of the ICU rounders that month.




Pumpkin display 1
Pumpkin display 2


Pumpkin display 3
Pumpkin display 4



Winner: TBA!




Caption It!

Announcements

Description

Submit your caption for this month.


Last month's winning caption, snagging a $5 coffee gift card, is "The PETAL Network", submitted by Garbs. The original piece was submitted by Dr. Rana Awdish.


This was a fitting caption. The PETAL Network (Prevention and Early Treatment of Acute Lung Injury) is an NIH-sponsored consortium of academic medical centers dedicated to advancing research in acute respiratory distress syndrome (ARDS) and related critical illnesses. It conducts multicenter clinical trials to improve the prevention, early recognition, and management of acute lung injury, and through its collaborative structure, PETAL accelerates translation of critical care research into clinical practice.

You may recognize the following primary studies from the PETAL network:

1. Reevaluation of Systemic Early Neuromuscular Blockade (ROSE): Evaluating early neuromuscular blockade in ARDS- N Engl J Med 2019; 380:1997-2008. doi:10.1056/NEJMoa1901686.

2. Crystalloid Liberal or Vasopressors Early Resuscitation in Sepsis (CLOVERS): Evaluating early restrictive or liberal fluid strategy for sepsis-induced hypotension-N Engl J Med 2023; 388:499-510. doi:10.1056/NEJMoa2212663.

They additionally sponsored several COVID-19 studies, including ORCHID, RED CORAL, BLUE CORAL and FIRE CORAL.

Their findings inform strategies relevant to lung transplantation, improving donor and recipient management protocols, particularly in optimizing donor management and mitigating lung injury before and after transplant.

Congratulations Garbs! Have coffee on us.

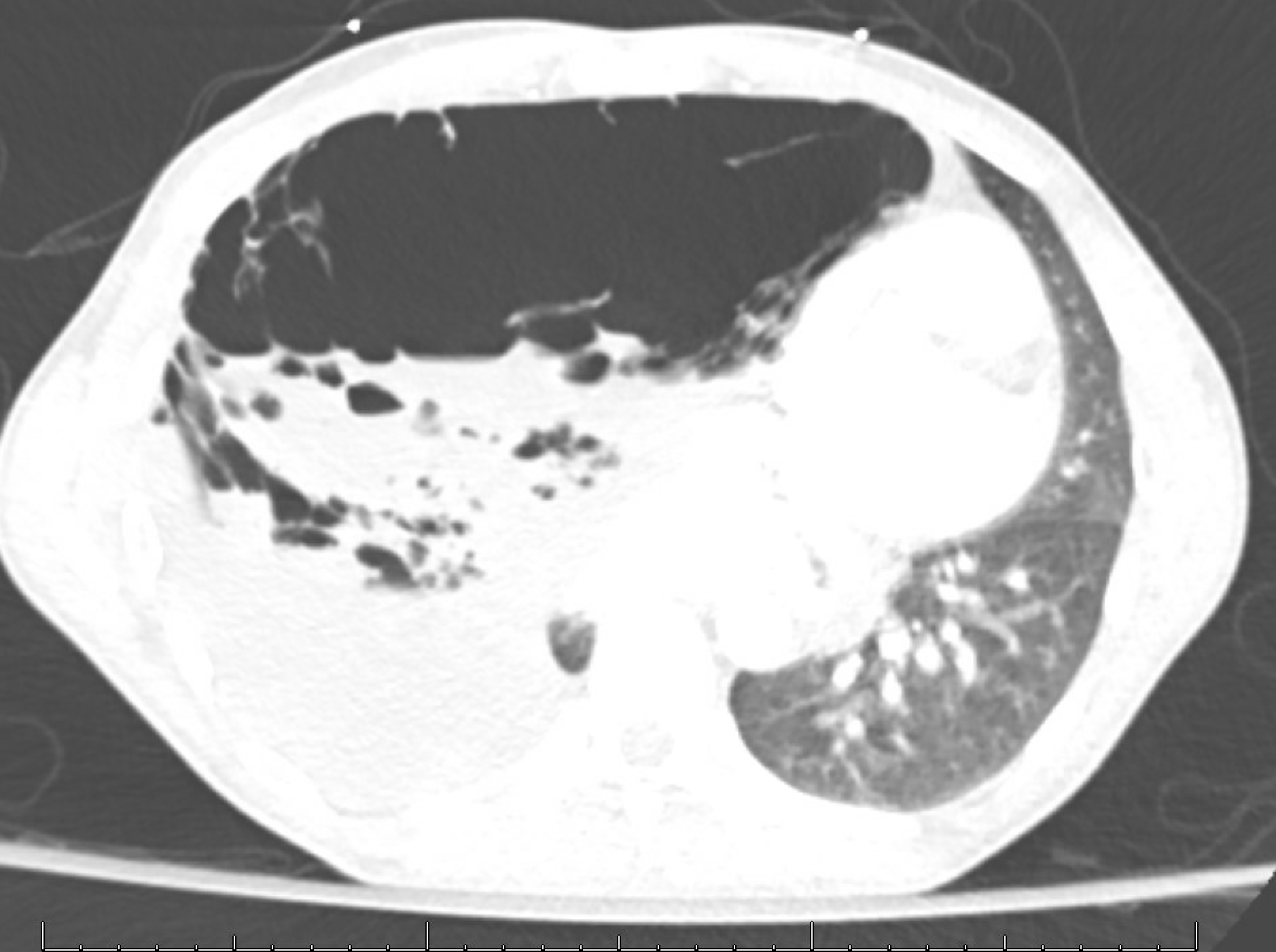
Quiz of the Month

A 31-year-old man, non-smoker, no history of vaping without a known history of lung disease, presents with a 2-year history of progressive exertional dyspnea and cough with sputum production. Chest CT is shown above. Which of the following is the most likely cause of his condition?
Click to play the video:



Play Video



A. Alpha-1 antitrypsin deficiency
B. Cystic fibrosis
C. Primary spontaneous pneumothorax
D. Vanishing lung syndrome


Return to this section next month for the answer!