Pulmonary & Critical Care Division Newsletter

August 2025

Welcome to the August 2025 edition of our division newsletter. Below you’ll find updates from each department including research highlights, clinical news, social updates, and more.

Welcome to the third PCCM Newsletter — a quick roundup of key updates, achievements, and initiatives shaping our division.

July issue

Clinical Updates

A huge congratulations to Dr. Ouellette on receiving the Herrick Chair for Intensive Care Medicine!




The Herrick Foundation was established by Ray W. Herrick in 1949 to provide financial contributions to worthy publicly supported charitable organizations. The Herrick Foundation is a grant making 501(c)(3) charitable organization.
___________
Raised in rural Michigan, Ray Herrick became a skilled toolmaker before founding his own shop that went on to become Tecumseh Products Company, an early Fortune 500 company. Ray used his stock in the company to form the Herrick Foundation and began its long-term mission to improve the welfare of society. Under successive generations of family leadership, the values and stewardship that were intended by the founder are still preserved. During its more than 70 years of operation, the Herrick Foundation has donated over four hundred fifty million dollars to charitable organizations across the United States.

Fellowship

The 6th annual Michigan Fellow Boot Camp for Bronchoscopy and Pleural Procedures 2025 was a tremendous success.
60 first-year fellows from 13 different Fellowship Programs (Pulmonary/Critical Care and Critical Care) from the state of Michigan participated.
Hosted by our own Interventional Pulmonology team, the boot camp combined high-yield didactics with hands-on simulation in bronchoscopy, pleural procedures, lumbar puncture, and invasive access. The event fostered early procedural confidence and collaboration across institutions, setting the stage for a strong start to fellowship training. Thank you to all the faculty, staff, and fellows who contributed to making this year’s boot camp one of our best yet.

Social & Community News

We have some good news about our fellowship Instagram page The fellowship Instagram account is doing well!

We were 10th nationally in follower count with 718 followers but now we are up to 1018 followers and 65,000 views. (The top account has 1127 followers).

Huge thanks to Medha Cherabuddi and Kaitlyn Spinella, along with Dr. Garbarino, for creating and actively leading this account.

ICU

Clinical Updates

Sepsis Update: Friday, September 12, 2025 is the Sepsis Symposium at The Madison in Detroit. The Sepsis Alliance Summit will be September 24-25, 2025, and is a virtual 2-day conference.

Small Bore Feeding Tube Policy will be developed as a Tier 1 Policy. We have several APPs, a nurse educator and our nutritionist who are now trained to place the Cortrak small bore feeding tubes (electromagnetic placement). Please HALO the "HFH Cortrak Team" for placement.

CLABSI: 2025 YTD 14 reportable cases for HFH. There are 24 fewer CLABSI YTD when comparing 2025 to 2024. For 2025, 70% of ICU CLABSIs had dialysis lines; 10% were common commensal organisms; 90% met line necessity and 10% were in EOL/comfort care patients. There was 1 CLABSI in the MICU this past month. For MICU, there have been 14 secondary BSI.

Hand Hygiene: Stealth observation for 2025 YTD is: 95.7% for pods 1 and 2, 87.5% for pods 3 and 4, and 91.5% for pods 5 and 6. Majority of missed opportunities hospital wide were prior to touching the patient when starting an assessment or greeting the patient and prior to donning gloves. Hand Hygiene Committee will have tables at the food truck rallies on August 18 and September 15.

A new Glidescope is available for MICU pod 2.

Pupilometers have been obtained for each pod.

Rapid Response Team has noted errors with epinephrine administered for anaphylaxis (prefilled syringe has been given in error). Epinephrine for anaphylaxis is now available in the Pyxis.

Challenges or Needs

Lorazepam is on shortage overall nationally, but remains in stock in Detroit.

Sarcoid

Henry Ford Health – Sarcoidosis Lung Disease program has a long history of excellence in the treatment of sarcoidosis as well as research into new therapies for the disease. Henry Ford Health’s Sarcoidosis Lung Disease Program is a World Association for Sarcoidosis and Other Granulomatous Disorders (WASOG) recognized Sarcoidosis Clinic. Our program is also a founding member of the Foundation for Sarcoidosis Research – Global Sarcoidosis Clinic Alliance (FSR-GSCA).

Ongoing Research

Xentria XTMAB-16 Study: Anti-TNF monoclonal antibody inhibiting TNFa

ATyr Clinical Trial: Efzofitimod (NRP2 modulator) for refractory sarcoidosis

Sarcoidosis Microbiome Research Collaboration with Michigan State University
- Bronchoscopy with BAL in patients suspected sarcoidosis patients with biobanking

Recent Publications

Cherabuddi MR, Goodman B, Ayyad A, Almajali DA, Nadeem O, Bradley P, Russell C, Ouellette D. Association of Area Deprivation Index with Adherence to Proposed Regimen in Patients with Sarcoidosis in Detroit, Michigan. Sarcoidosis Vasc Diffuse Lung Dis. 2024 Jun 28;41(2):e2024031.

Social & Community News

Next Sarcoidosis Patient Support Group Meeting: Sept 11, 2025

Administrative

Education

If you are presenting at CHEST and would like to your registration paid upfront (rather than submitting it for reimbursement later), please let your admin know and we can use the HPC portal to register.

Announcements

August Birthdays:
Natalie Kline- 1st
Heather Bachert- 4th
Ruth George- 4th
Natasha Stumpmier- 8th
Alysha Kubala- 10th
Avi Cohen- 11th
Nour Nasiri- 11th
Deanne Lezkovitz- 12th
Austin Parsons- 16th
Najia Huda- 19th
Lynda Karnib- 19th
Christopher Cunningham- 20th
Ghada Mesleh- 21st
Junior Uduman- 23rd
Kelly Mateyak- 25th
Kyle Jurayj- 28th
Sulmaz Zahedi- 28th
Jillian Kim- 30th
Brenda Kieswetter- 31st

Research

Ongoing Research

Intuitive's Tomosynthesis: A prospective, data collection study utilizing a fiducial board for use with the Ion Endoluminal System.

Intuitive's Ion registry: A Multi-Center, Prospective, Single-Arm, Observational Study to Evaluate Real-World Outcomes for the Shape-Sensing Ion Endoluminal System

DevPro RAINIER: A Phase 2a, Randomized, Double-blind, Placebo-controlled, Multiple Dose-Ranging Study to Assess the Safety, Tolerability, Pharmacokinetics, and Pharmacodynamics of Solrikitug in Adult Participants With Asthma.

Hummingbird Diagnostics: Diagnostic performance of small RNA blood test in patients undergoing follow-up imaging after positive low dose CT screening for cancer of the lung “Early Detection of Lung Cancer based on small RNA signatures - Boston II”

RIN-PF-301 Teton: A Randomized, Double-blind, Placebo-controlled, Phase 3 Study of the Efficacy and Safety of Inhaled Treprostinil in Subjects with Idiopathic Pulmonary Fibrosis.

Pulmonary Hypertension Association Registry (PHAR) Protocol.

aTYR: A PHASE 3, RANDOMIZED, DOUBLE-BLIND, PLACEBO CONTROLLED STUDY TO EVALUATE THE EFFICACY AND SAFETY OF INTRAVENOUS EFZOFITIMOD IN PATIENTS WITH PULMONARY SARCOIDOSIS.

CONVERT II: An Evaluation of the AeriSeal System for CONVERTing Collateral Ventilation Status in Patients with Severe Emphysema.

Xentria: A seamless, Phase 1b/2 multiple ascending dose/proof of concept study of XTMAB-16 in patients with pulmonary sarcoidosis with or without extrapulmonary manifestations.

Reliance: A multi-center, randomized, 72-month, parallel group, non-inferiority, phase III study to compare the effectiveness of 500 mcg QD or alternate regimen of roflumilast (Daliresp) therapy versus 250 mg QD, 500 mg QD three times per week, or alternate regimen of azithromycin therapy to prevent COPD exacerbations.

DevPro ZION: A Phase 2, Randomized, Double-blind, Placebo-controlled, Multiple Dose-Ranging Study to Assess the Safety, Tolerability, Pharmacokinetics, and Pharmacodynamics of Solrikitug in Participants with Chronic Obstructive Pulmonary Disease.

ZEVR: Zephyr Valve Registry.

RELIEF: Chest Drain Regular Flushing in Complicated Parapneumonic Effusions and Empyemas.

BLESS: Validation of the BLESS models for predicting survival in patients with breast or lung cancer
and malignant pleural effusions.

Caption It!

Announcements

Get creative and have a chance to get (more) caffeinated! Starting next month, we’ll debut Caption It!- an interactive challenge where you’ll be invited to caption an original drawing or painting, using a medical theme. Whether it’s witty, poetic, or a play on words, the top caption (as voted by your peers) wins a $10 Biggby Coffee gift card.

Image submitted with permission from the original artist. Come back next month to find out who submitted this picture.
Submit your caption here


Quiz of the Month

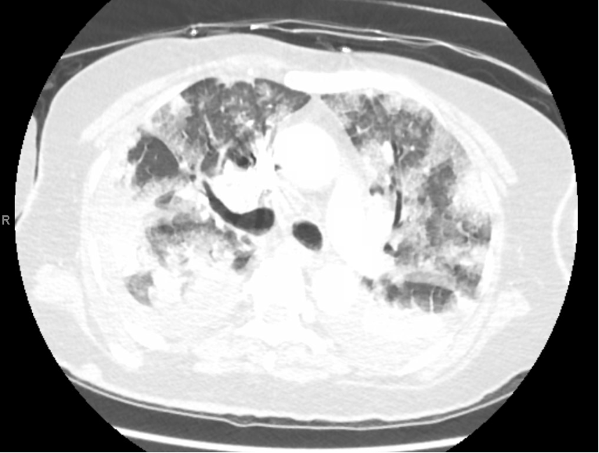
Newsletter Image
A 76 y.o. W with a past medical history of type 2 diabetes and essential hypertension, presented to hospital with a progressively worsening shortness of breath and dry cough for three weeks, which started while she was on a cruise. She had an associated rash localized to both hands, for which she was prescribed antibiotics, with improvement. She is retired from desk work and is a lifetime non-smoker. Chest xray revealed bilateral airspace disease, predominantly lower lobes, with representative CT chest above. She had a new oxygen requirement of 2L. WBC was 14.7, neutrophil predominant, absolute eosinophil count 0. Respiratory failure continued to worsen despite antibiotics. Bronchoscopy with BAL was performed, with a neutrophil-predominant cell count, normal eosinophils, and low colony count Pseudomonas aeruginosa. ANA, rheumatoid factor, anti-CCP, and DsDNA were negative. She has normal renal function. Histoplasma and blastomycosis Ab are negative. Clinical status worsens despite antipseudomonal coverage, steroids for pneumonia, and diuresis for newly diagnosed cardiomyopathy with an ejection fraction of 35%. She develops renal failure with reduced urine output, with normal urine sediment. She requires mechanical ventilation with PEEP 14, FiO2 100%. What is the next best step to establish a diagnosis?

A. Perform repeat bronchoscopy with transbronchial biopsy
B. Perform bronchoscopy with serial aliquots
C. Obtain myositis antibody panel
D. Evaluate exposures and obtain hypersensitivity panel


_______________________________________________________________________


Answer to last month's quiz:


Thoracic splenosis is an uncommon condition that arises as a complication of trauma to the spleen and diaphragm. It complicates up to 18% of splenic rupture, particularly following penetrating trauma. Median time from trauma to diagnosis is 18.8 years. Abdominal splenic implants are more common than thoracic implants but when involved, thoracic splenosis tends to be on the left side of the chest. Rarely patients can have pleurisy or hemoptysis related to thoracic splenosis. Clues to diagnosis include a history of trauma and an absent spleen on imaging. Nuclear medicine scans with technetium-99 tagged RBCs or technetium-99 labeled sulfur colloid imaging can confirm the presence of splenic tissue [choice D is correct]. If thoracic splenosis is on the differential diagnosis, imaging should be considered prior to biopsy as splenic tissue is very vascular, risking significant hemorrhage [choice B is incorrect]. The splenic tissue should not be resected as it is functional and thought to prevent post splenic sepsis. One study demonstrated auto transplantation of splenic tissue post splenectomy was more effective at clearing pneumococcal bacteremia than native spleen. A PET-CT scan was performed for this patient with no FDG uptake in the pleural mass. Ultimately a technetium-99 sulfur colloid scan confirmed thoracic splenosis and a biopsy was avoided.



Biopsy and resection should be reserved for cases where malignancy is suspected. This pleural mass should not be biopsied bronchoscopically as it would cross the pleural border [choice A is incorrect]. While the mass abutted the mediastinum, it did not extend into the mediastinum, thus mediastinoscopy would not be able to successfully sample the pleural mass [choice C is incorrect]. Pulmonary function testing can be useful prior to lung resection surgery to assess for the safety of resection. Lung nodules or lung masses with a very high likelihood of malignancy may be best managed by surgical risk assessment and initial lung resection which is not the case for this patient [choice E is incorrect]. BRCA-associated protein 1 [BAP1] mutational analysis will not aid diagnosis. Over half of the malignant mesothelioma cases with onset under the age of 50 are associated with BAP1 mutations. Multiple malignancies are associated with BAP1 mutations. Identifying a mutation could aid in identifying malignancies for the patient and family members but this is done after a diagnosis of malignant mesothelioma is made. Our patient is over the age of 50 and a negative BAP1 mutation does not exclude malignant mesothelioma [choice F is incorrect].